Share News

Brain cancer: మెదడు క్యాన్సర్‌ చికిత్సలో ముందంజ

ABN , Publish Date - Dec 31 , 2025 | 05:20 AM

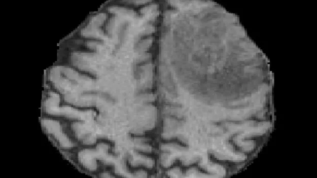
మెదడు క్యాన్సర్‌ పేషంట్లు ఆ వ్యాధి నుంచి కోలుకునే అవకాశాల్ని.. ఎంఆర్‌ఐ స్కాన్‌ల ద్వారా అంచనా వేసి చెప్పే వెబ్‌ ఆధారిత టూల్‌ని ఐఐటీ హైదరాబాద్‌ పరిశోధకులు రూపొందించారు.

Brain cancer: మెదడు క్యాన్సర్‌ చికిత్సలో ముందంజ

  • వెబ్‌టూల్‌ని రూపొందించిన ఐఐటీహెచ్‌ శాస్త్రవేత్తలు

  • రోగి ఎంఆర్‌ఐ స్కాన్‌ను సూక్ష్మస్థాయిలో విశ్లేషించే సాధనం

  • ‘రేడియాలజీ ఆఫ్‌ గ్లియోమా’ అని పేరు

  • పరిశోధనలో ఎంఎన్‌జే, ఢిల్లీ ఎయిమ్స్‌ భాగస్వామ్యం

కంది, హైదరాబాద్‌, డిసెంబరు 30 (ఆంధ్రజ్యోతి): మెదడు క్యాన్సర్‌ పేషంట్లు ఆ వ్యాధి నుంచి కోలుకునే అవకాశాల్ని.. ఎంఆర్‌ఐ స్కాన్‌ల ద్వారా అంచనా వేసి చెప్పే వెబ్‌ ఆధారిత టూల్‌ని ఐఐటీ హైదరాబాద్‌ పరిశోధకులు రూపొందించారు. దీనికి ‘రేడియాలజీ ఆఫ్‌ గ్లియోమా’ అని పేరు పెట్టారు. ఎంఆర్‌ఐ ఇమేజీల్లో కంటికి కనిపించని అతి సూక్ష్మ అంశాలను కూడా ఇది గుర్తించగలుగుతుందని, తద్వారా రోగి పరిస్థితిని కచ్చితంగా అంచనా వేస్తుందని పరిశోధనకు నేతృత్వం వహించిన ఐఐటీహెచ్‌ అసిస్టెంట్‌ ప్రొఫెసర్‌ రాహుల్‌ కుమార్‌ తెలిపారు. మెదడు క్యాన్సర్‌ చికిత్సలకు ‘రేడియాలజీ ఆఫ్‌ గ్లియోమా’ సహకారిగానే ఉంటుందిగానీ ప్రత్యామ్నాయం కాదని స్పష్టం చేశారు. ఇప్పటికీ బయాప్సీనే.. క్యాన్సర్‌ చికిత్సలో అత్యంత కీలకమని తెలిపారు. ఈ పరిశోధనలో పాలుపంచుకున్న కవిత కుండల్‌ మాట్లాడుతూ, ఈ ప్రాజెక్టులో ఎంఎన్‌జే క్యాన్సర్‌ ఆస్పత్రి భాగస్వామిగా ఉందన్నారు. ఆ ఆస్పత్రి సహకారంతో 50 మంది పేషంట్ల ఎంఆర్‌ఐ స్కాన్‌లను తాము అధ్యయనం చేశామని, రానున్న రోజుల్లో మరో 100 ఎంఆర్‌ఐ స్కాన్‌లు వచ్చే అవకాశం ఉందని తెలిపారు. ఈ పరిశోధనలో ఢిల్లీ ఎయిమ్స్‌ కూడా పాలుపంచుకుంటోందన్నారు. పరిశోధన వివరాలు ‘ఎన్‌పీజే ప్రిసిషన్‌ ఆంకాలజీ’ మ్యాగజైన్‌లో ప్రచురితమయ్యాయి.

Updated Date - Dec 31 , 2025 | 05:20 AM